DEVON’S SMILE JOURNEY

Devon after picDevon before pic

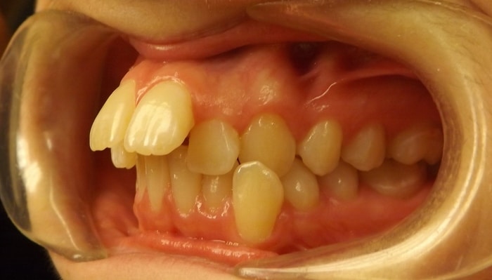
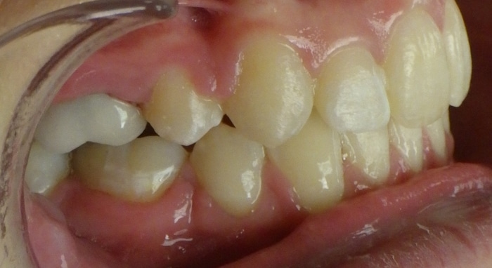
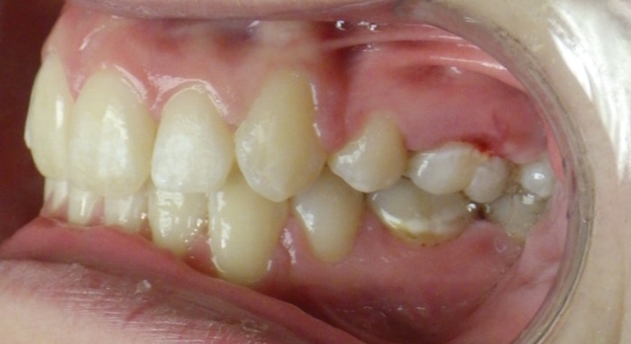
Devon was one of our favorite adult patients. She started with severe crowding, severe overjet, and crossbites. She finished with a beautiful smile!

Here are pictures of Devon’s start and final photos.

Devon side view before Richmond OrthodontistDevon side view after Richmond Orthodontist
before and after Richmond orthodontistbefore and after Richmond orthodontist
before and after Richmond orthodontistbefore and after Richmond orthodontist
before and after Richmond orthodontistbefore and after Richmond orthodontist