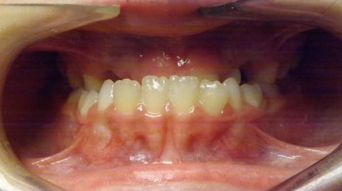
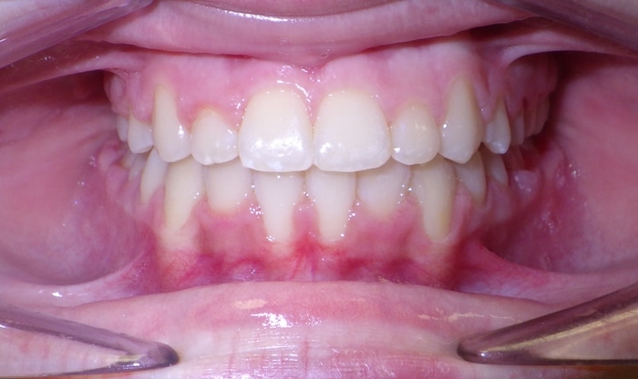
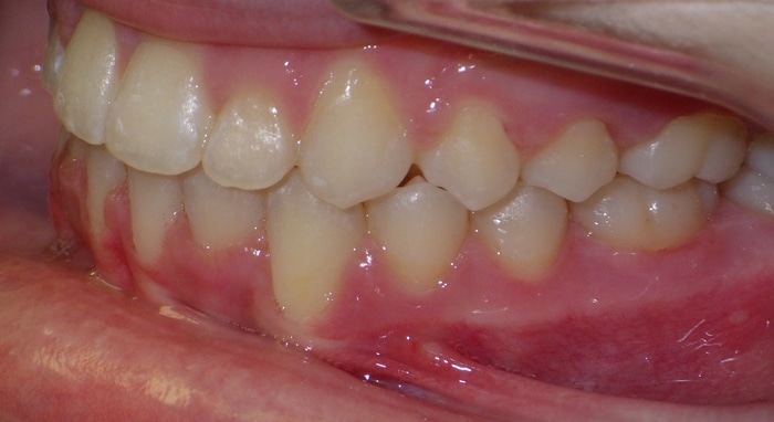
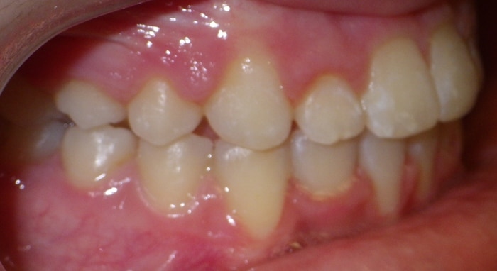
EMILY’S SMILE JOURNEY


Emily began with us as a Phase I patient and we just recently debanded her from Phase II. These progression photos show you that starting early allows us to not just straighten the teeth, but also change the patient’s jaw shape. Emily was a dedicated patient and did great with treatment. Her results speak volumes! We were able to correct her severe underbite and Class III skeletal imbalance without needing jaw surgery.






