MARLEA’S SMILE JOURNEY


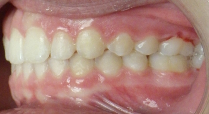
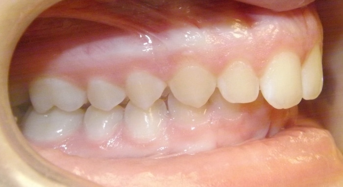
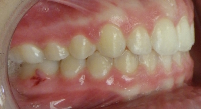
When Marlea presented to us she had a Class II bite with 100% overbite and a 5mm overjet. She also had upper spacing and lower crowding. Marlea’s treatment included metal braces with headgear. With her determination we were able to achieve a Class I bite as well as a perfect overbite and overjet! This is the perfect example of exemplary headgear wear and what a difference it makes in the final outcome of treatment.






