CHRISTOPHER’S SMILE JOURNEY


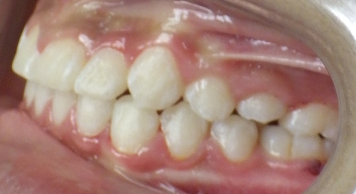
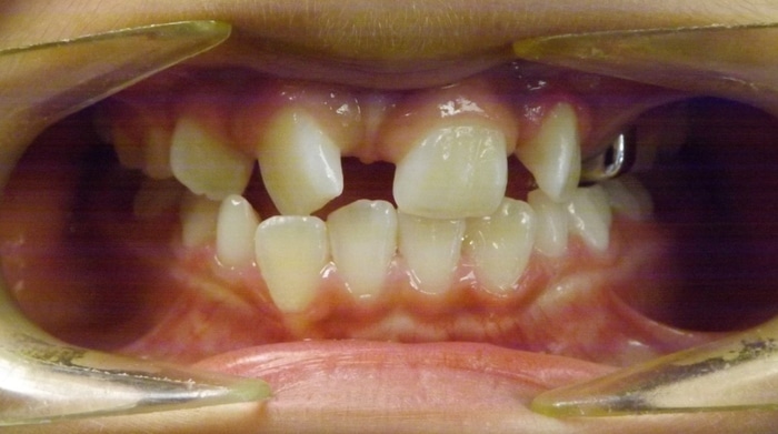
Christopher was a Phase I case that presented with a Class III bite on the right side and around a 90 degree rotation of his upper right central and lateral incisors. During Phase I we placed upper 2×4 brackets (brackets on upper 4 front permanent teeth) since he still had several primary teeth left. We began Phase II and at this time Christopher had 5 mm of upper crowding and 3 mm of lower crowding. We placed brackets on the upper and lower arches and had him wear elastics during treatment. Christopher ended with a really beautiful Class I bite and smile.






