Before And After
As you can see, the proof is in the before and after photos! Our patients are seeing fantastic results from their treatments with Pediatric Dentistry and Orthodontics. Let us bring confidence to your teen through a perfect smile!
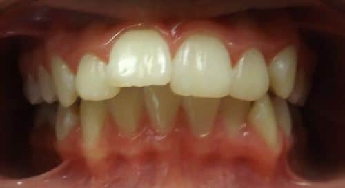
Natalie




Luke
Our patient, Luke, presented with an underbite. We began Phase I with him in October 2018 and were able to achieve major changes in Luke’s profile and bite. Also, note how his upper lip changed as well. Luke’s photos show how well growth modification can work in an adolescent patient, even preventing the need for jaw surgery as an adult.




Kaitlyn
Kaitlyn began Phase I with Dr. Bridges in October 2013 with headgear and upper braces only. Her Phase I was less than 10 months, and she wore headgear from Phase I through Phase II. Phase II was October 2016-October 2018. We were able to prevent jaw surgery for her severe Class II skeletal imbalance by using headgear for growth modification.




Christopher
Christopher was a Phase I case that presented with a Class III bite on the right side and a 90-degree rotation of his upper right central and lateral incisors. During Phase I we placed upper 2×4 brackets (brackets on upper 4 front permanent teeth) since Christopher still had several primary teeth left. We began Phase II and at this time Christopher had 5 mm of upper crowding and 3 mm of lower crowding. We placed brackets on the upper and lower arches and had Christopher wear elastics during treatment. Christopher ended with a really beautiful Class I bite and smile. Just look at these before and after photos.




Victoria
Victoria started with severe crowding including a blocked out upper canine and impacted lower second premolar. We finished her care successfully without needing to extract any teeth.




Emily
Emily began with us as a Phase I patient and we recently debanded her from Phase II. These progression photos show you that starting early allows us to not just straighten the teeth, but also change the patient’s jaw shape. Emily was a dedicated patient and did great with treatment. Her results speak volumes! We were able to correct her severe underbite and Class III skeletal imbalance without needing jaw surgery.






Marlea
When Marlea presented to us she had a Class II bite with 100% overbite and a 5mm overjet. She also had upper spacing and lower crowding. Marlea’s treatment included metal braces with headgear. With her determination we were able to achieve a Class I bite as well as a perfect overbite and overjet! This is the perfect example of exemplary headgear wear and what a difference it makes in the final outcome of treatment.



















